Família de Santo Augusto faz rifa para cirurgia do filho
Menino de 3 anos com displasia coxofemoral precisa de cirurgia urgente; sorteio da rifa será ao vivo no dia 12 de setembro na Rádio Ciranda.
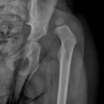
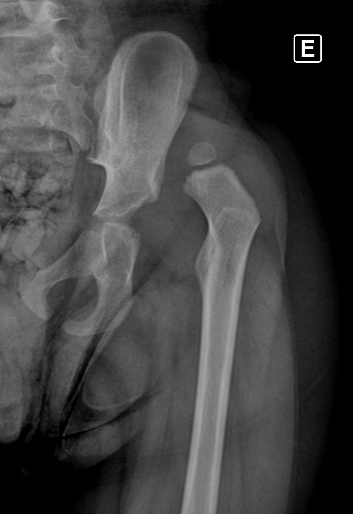
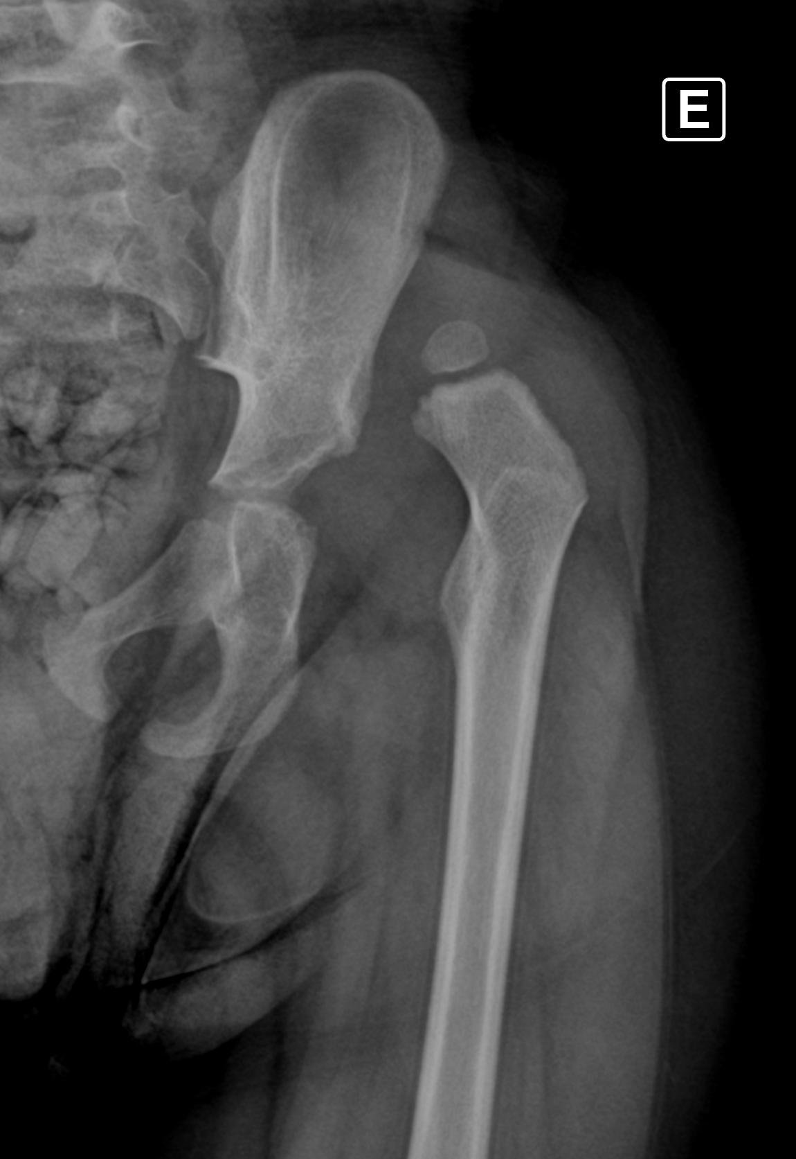
Aos três anos, o pequeno Heitor Henrique Moraes de Oliveira enfrenta uma difícil batalha contra a displasia coxofemoral — uma luxação congênita no quadril esquerdo descoberta quando ele tinha apenas um ano. A mãe, Camila Moraes, contou que percebeu algo errado quando o filho demorou a caminhar:
“Desde a primeira consulta em Santo Ângelo, a ortopedista nos disse que seria necessária uma cirurgia. Ficamos na fila do SUS, mas graças a Deus conseguimos adiantar o procedimento devido à urgência, pois a situação poderia piorar conforme ele crescesse,” relatou.
Para custear exames, consultas, estadia em Santo Ângelo e o pós-operatório — já que Heitor ficará com gesso no quadril e nas pernas por 45 dias — a família está promovendo uma rifa solidária. O valor da cartela é de R$ 10,00 e os números podem ser adquiridos diretamente com os familiares pelo telefone (55) 99655-8805. O pagamento também pode ser feito via PIX (55996558805 – Nubank – Camila Moraes da Veiga).
O sorteio será realizado ao vivo no dia 12 de setembro, pela Rádio Ciranda.
Prêmios da rifa:
1º – Leitão de 25 kg (doação)
2º – Batedeira
3º – Sanduicheira
4º – Chaleira elétrica
5º – Vale de R$ 200,00 (Loja DDR)
6º – Kit Natura perfume Luna
7º – Kit velas aromáticas
8º – Vale R$ 100,00 (Salão Jaqueline)
9º – Kit de banheiro em crochê
10º – Kit cuia e bomba
11º – Duas almofadas decorativas
12º – Trilho de mesa em crochê
13º – Creme + manicure + pedicure
14º – Prêmio surpresa
15º – Porta-prato em crochê + almoço em restaurante
16º – Mimo Mary Kay + manicure tradicional
“Quem não puder colaborar comprando a rifa, pedimos que coloque o Heitor em suas orações,” disse Camila. “Qualquer ajuda fará diferença neste momento tão importante.”



